很多人之所以不愿意矫正牙齿,是因为担心牙套又丑又难受,还害怕医生让自己拔牙。殊不知,在经验丰富的牙医眼中,矫正牙齿的方法其实有很多选择。
今天介绍的这两个案例不仅不用拔牙,连牙套都没戴,到底是怎么做到的呢?
拔牙的原因
矫正牙齿时往往需要拔牙,一种情况是本来的牙齿有问题,比如智齿捣蛋;更多情况下是口腔中给牙齿留出的空间不够,只能拔掉几颗腾出空间。
口腔中的空间由上颌骨决定,咀嚼是刺激颌骨发育的必要条件。现代人吃得相对软而精细,咀嚼减少影响了颌骨的正常生长,导致牙弓过于狭窄,就显得牙齿太多,造成牙齿拥挤、龅牙等情况。
这种情况下不一定非拔牙不可,PWD牙科集团中技术强悍的牙医可以通过磨牙或扩张的方式引导牙齿自行排列整齐,甚至连牙套都不用戴。
案例一:磨牙
credit:PWD牙科诊所
这个小朋友来访的时候只有七岁,乳牙还没有换完,导致下排的恒牙过于拥挤。
牙医将恒牙相邻的乳牙削去了一部分,给恒牙腾出空间,九个月以后,牙齿的位置自然而然地恢复正常。
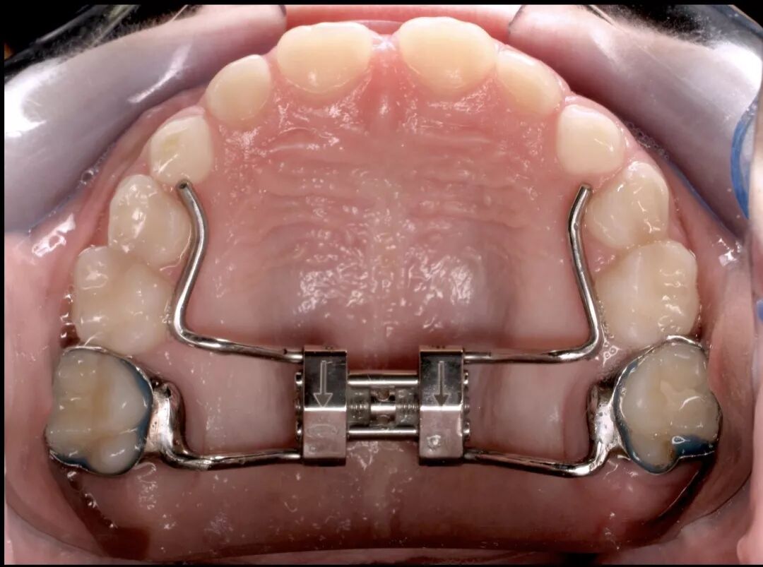
案例二:扩张
credit:PWD牙科诊所
这个八岁的病人是因为下牙拥挤、前牙不正来到PWD牙科集团的。牙医选择了扩张器加部分牙套进行一期矫正,经过十二个月的治疗,牙齿的外观和功能得到了极大的改善。
扩张是一种不用手术就能促进颌骨发育、改善面部结构的简便方法,连带可以实现无牙套矫正牙齿。那么。扩张到底适合哪些人呢?
扩张是什么
扩张器是一个像蜘蛛一样的支架,通常被固定在口腔后部,通过向上颌骨施加压力,把狭窄的牙弓横向推开。
虽然扩张器一开始会让牙齿产生被压迫感,还可能促进唾液分泌、影响咀嚼和说话,但一段时间之后就能够适应。
随着扩张的进行,上颌中间会生长出更多的软骨。一般来说,只需要几个月就可以让牙弓发育到正常的宽度。
扩张器的适用情况
用扩张器扩张牙弓之后,口腔空间变大,给拥挤的牙齿留出了腾挪的余地,有机会重新进行排布。除此之外,扩张器还可以带来以下的益处:
反颌——
上排的牙齿本来应该长在下牙外面,但要是上颌太狭窄,上牙就会嵌在内侧。如果发生在门牙的位置,就会形成“地包天”。扩张器可以打开牙弓,形成正常的咬合关系。
阻生——
有时候正确的位置被其他牙齿抢占,牙齿就藏在牙龈里长不出来,虎牙尤其容易出现这种问题。使用扩张器扩大空间,就可能让牙齿自己生长出来。
鼻塞——
最重要的是,狭窄的口腔甚至可能影响呼吸,使用扩张器可以减少鼻塞和打鼾的症状。
扩张上颌骨不仅可以让牙齿排列整齐,还能改变嘴突,让脸型变得丰满,整个头颅骨的发育回到正常轨迹。
使用扩张器的年龄
在青春期之前,上颚骨都不会完全闭合,这个时间段是使用扩张器的最佳年龄。一般来说,16岁以下都可以运用扩张器,并且年龄越小效果越好。对于成年人来说,通常不建议把扩张器作为矫正牙齿的首选方法。
另外需要强调的一点是,每个人的情况都不一样,是否能够无牙套矫正,还是要跟PWD牙科集团里富有实践经验的牙医商讨之后才能决定。如果非戴不可,也可以选择透明牙套隐适美invisalign。
隐适美invisalign不用金属托槽和弓丝,从视觉和感受上都能达到近乎隐形的效果。
credit:PWD牙科诊所
现在更有免费微笑预览Smileview功能,集中了600万个隐适美矫正案例,让你一键完成整牙,提前看到矫正后的完美笑容。
credit:Align官网
只需60秒,就能美丽到牙齿,赶紧来试试吧!
如果您的牙齿状况符合隐形牙套“隐适美”的使用条件,将额外免费享受价值$1000刀的超值服务!
“隐适美” 特价优惠中!!!
拨打 604-501-0993,
即可预约您的首次免费咨询~
PacificWest牙科集团有超过20年的历史,
在温哥华和素里都有诊所,
拥有专业、高效的牙科专家团队
以及一流的设施和就诊环境。
而且,
11月30日之前开始矫正,可额外获得$500刀的减免!
限时优惠,有效期至11月30日!!!
*活动解释权归Pacific West牙科集团
这样的优惠怎么能错过?!有问题就赶紧来Pacific West牙科集团问诊吧。首次咨询完全免费!
PacificWest牙科集团拥有一支包括正畸,牙周病,口腔修复术,口腔外科和牙科疼痛及睡眠医学的专家队伍。
微信支付和支付宝现已开通!!!
提供中文服务,接受各类保险
温哥华诊所
中文约诊电话:604-558-0993
Vancouver Office
182 East 15th Ave
Vancouver BC, V5T 4R3
素里诊所
中文约诊电话:604-501-0993
Surrey Office
Suite 3, 7388-137th St
Surrey BC, V3W 1A3
首次问诊完全免费,
现在就跟微信客服预约吧!!!
关注公众号
咨询客服


