说起真正的隐形矫正,

如果舌侧牙套称第二,

谁也不敢称第一,

图源:PWD官网

连以隐形闻名的隐适美Invisalign®都不行!

图源:PWD官网

是的!就是这么霸气!

对于某些职业需要

或者不想让别人轻易看出在矫正的人来说,

舌侧矫正了解一下~

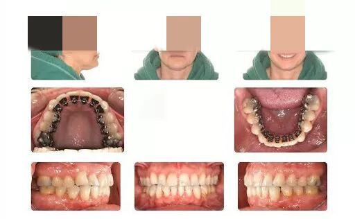
在K女士第一次来PacificWest牙科集团问诊时,她其实是很担心的,因为觉得自己已经过了矫正的最佳年纪。但经过了专业医生耐心细致的说明和解释后,K女士又重拾了可以拥有更为美观且健康的牙齿的信心。

医生为K女士做了详细的检查后发现她的上颌牙齿有前突的症状,下颌牙齿排列不齐且前牙位置畸形。考虑到K女士的年纪,牙齿健康状况以及她并不希望因为矫正牙齿而受到太多关注的想法,医生给K女士推荐了舌侧矫正。K女士非常信任医生的判断,并积极配合。

图源:PWD官网(矫正前)

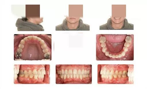
看下颌前牙的位置就可以发现:舌侧矫正的速度很快,效果很明显。

图源:PWD官网

半年后的效果:上颌牙齿的排列也得到了明显的改善。

图源:PWD官网

四个月后,下颌牙齿的排列情况也逐步好转。

图源:PWD官网

又过了半年,医生为K女士的部分牙齿粘上透明附件来辅助舌侧矫正,确保矫正效果。

图源:PWD官网

最终效果:

图源:PWD官网 (矫正后)

PacificWest牙科集团医生精心治疗以及K女士自己妥善的护理、配合下,K女士非常满意矫正的效果!

那么与其他传统的矫正牙套比起来,

舌侧矫正有哪些不同之处呢?

什么是舌侧矫正?

舌侧正畸矫治器,贴合装配在牙齿后。它平坦,舒适,几乎不为人所见,附着在牙齿内侧。是传统牙套的有效替代品,更为美观大方。 

图源:twitter@PWD

为什么选择舌侧矫正?

如果您担心传统牙套会影响的外观,或者您经常面对观众或客户,那么舌侧矫正可能是您的最佳选择。

一般有三种情况你的医生会推荐你使用舌侧矫正:

1.怕麻烦,不能很好的佩戴隐适美

2.想要快速完成矫正

3.复杂案例

PacificWest牙科集团专业的认证矫正医生汪博士精于舌侧矫正及其他各类型的正畸牙套,可以更好地评估您的需求并帮助您确定哪种治疗方法最适合您。

图源:twitter@PWD

哪些人适合舌侧矫正?

想要“隐形”矫正的青少年及成人,或是有职业需求的比如运动员、模特、演员、演奏管乐器的音乐家和其他专业人士。

图源:twitter@PWD

舌侧矫正的优点有哪些?

  • 牙套不可见,没有人知道你戴着牙套。
  • 牙套很舒适,对说话影响也小。
  • 牙套100%个性定制,以获得最佳贴合度和效果。
  • 附着在牙齿内测,避免对唇部的损伤。
  • 口水分泌增多,减少牙齿的患龋率。

有哪些需要注意的地方?

  • 舌侧牙套对医生操作的要求高,技术难度大,请务必寻求有资质有经验的专业矫正医生,有资质有经验的专业矫正医生,有资质有经验的专业矫正医生!重要的话说三遍!
  • 舌侧牙套清洁难度更高,请细致、耐心认真地做好清洁工作。

图源:twitter@PWD

所以,有想法的小伙伴快来Pacific West牙科集团吧,医生不仅技术专业、服务态度好首次咨询还完全免费哦!现在还有电影票送!

PacificWest牙科集团拥有一支包括正畸,牙周病,口腔修复术,口腔外科和牙科疼痛及睡眠医学的专家队伍。

微信支付和支付宝现已开通!!!


提供中文服务,接受各类保险
温哥华诊所
中文约诊电话:604-558-0993
Vancouver Office
182 East 15th Ave
Vancouver BC, V5T 4R3
素里诊所
中文约诊电话:604-501-0993
Surrey Office
Suite 3, 7388-137th St
Surrey BC, V3W 1A3

首次问诊完全免费,

现在就跟微信客服预约吧!!!

关注公众号
咨询客服